LOGO
Published by
  • Issues
  • Articles
  • Cases
  • Videos
  • News
  • Webinars
  • Podcasts
  • Digital Portals
  • AR Connect
  • Outreach
  • Resources
  • About Us
SUBSCRIBE
MOST RECENT
RadNet Acquires CIMAR UK to Expand DeepHealth’s Connected Imaging Capabilities Across the UK and Europe American Board of Magnetic Resonance Safety: Standardization and Certification of Remote MR Scanning University of Birmingham Scientists Develop Next-Generation MRI Contrast Agents with Enhanced Stability and Performance

Vol 54. No 4.

Latest Issue

View the entire issue
October 2025
Radiology MattersBreast Imaging

Breast Arterial Calcification: Why Radiologists Should Start Reporting This Silent Risk Factor for Heart Disease

Guest EditorialBreast Imaging

Breast Arterial Calcification—At the Heart of Screening: A Canadian Perspective

Review ArticleGastrointestinal

New Trends in the Diagnosis and Management of Renal AML Subtypes: Part II

Review ArticleBreast Imaging

Comprehensive Review of Clinical Presentation, Multimodality Imaging, and Therapeutic Strategies for Inflammatory Breast Cancer

Case StudyBreast Imaging

Inflammatory Breast Cancer

Case ReviewsBreast Imaging

Breast Granular Cell Tumor

Eye On AIArtificial Intelligence

Academic Radiologists Look for Help from AI to Meet Demands

Wet Read

Rituals

Editorial

Rolling Along


Other News

See all News Brief →

RadNet Acquires CIMAR UK to Expand DeepHealth’s Connected Imaging Capabilities Across the UK and Europe

American Board of Magnetic Resonance Safety: Standardization and Certification of Remote MR Scanning

University of Birmingham Scientists Develop Next-Generation MRI Contrast Agents with Enhanced Stability and Performance

2025 Leaders on the Horizon Residents Program Winners Announced

Carestream to Unveil New Imaging Innovations and Customer-Centric Solutions at RSNA 2025

RadNet Expands Remote Imaging Capabilities with Acquisition of Alpha RT, Enhancing TechLive™ Platform and Staffing Solutions

Nvidia Launches Clara Reason to Advance Explainable AI in Medical Imaging

FUJIFILM Sonosite Unveils Sonosite MT, a New Portable Ultrasound System Designed for High-Mobility, High-Performance Care

Applied Radiology Names Nina S. Vincoff MD As Its New Editor-in-Chief

Robotic PCI System Debuts at TCT2025 with Strong Clinical Data and Global Ambition

Pulsenmore Brings Home Ultrasound to U.S. with FDA Authorization

Koning Health Reflects on a Transformative Month of Expansion, Innovation, and Advocacy in Breast Imaging


Case Studies

See all Case Study →

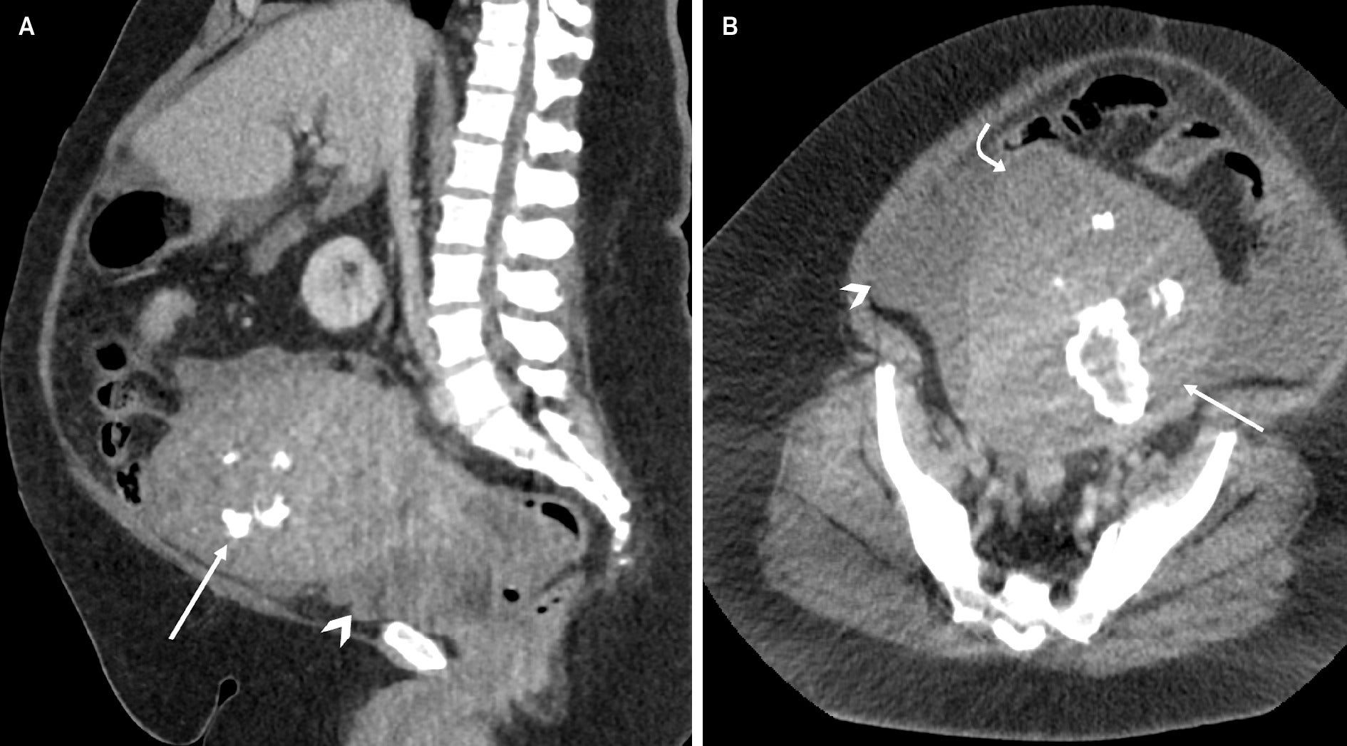
Intra-Abdominal Rupture of a Uterine Leiomyoma

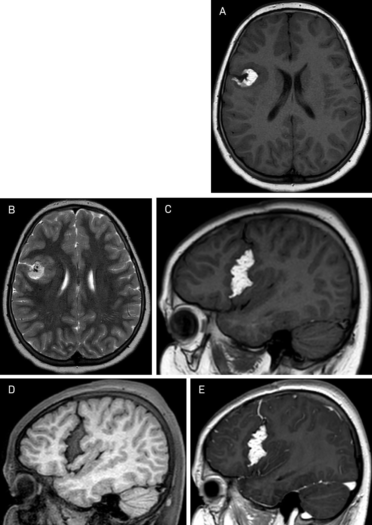
Sylvian Fissure Lipoma with Associated Focal Cortical Dysplasia and Venous Malformation

Contrast-Enhanced MR Imaging Video Case Review

Primary Small Cell Carcinoma of the Tonsil

Pulmonary Artery Pseudoaneurysm

Leptomeningeal Spread of Metastatic Wilms Tumor

Calcific Subcoracoid Bursitis

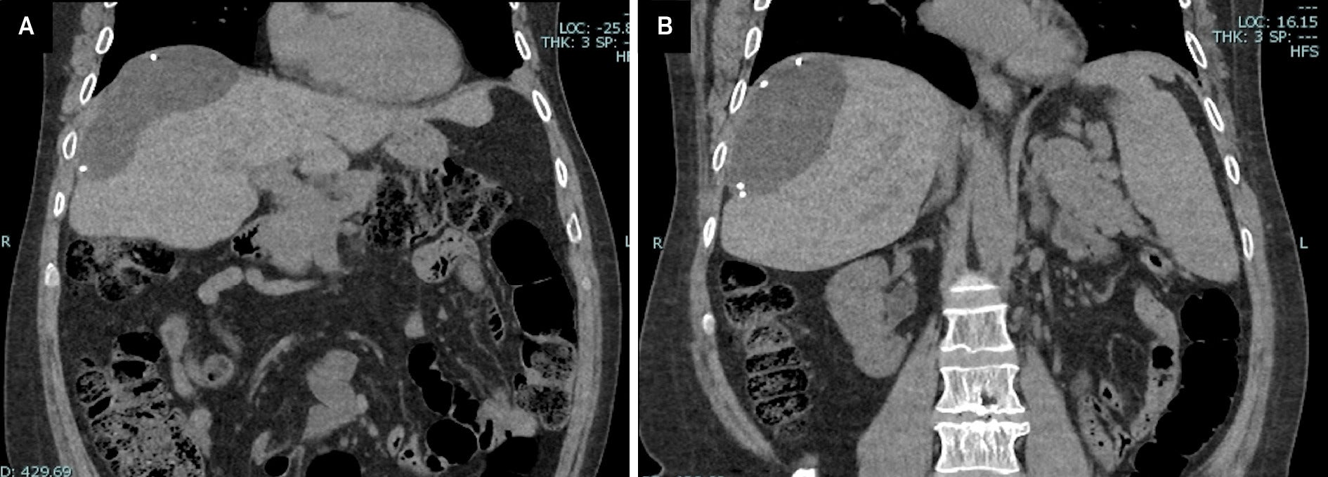
Pseudotumoral Sarcoidosis of the Spleen

Kabuki Syndrome

Abdominal Pseudocyst in a Patient with a VP Shunt

CHARGE Syndrome

Inflammatory Breast Cancer

Editorial Resources

  • Submission Guidelines
  • Forms for Authors

Journal Resources

  • Advertise
  • Subscribe
  • Email Alert Manager
  • Contact

Social

© Anderson Publishing, Ltd. 2025 All rights reserved. Reproduction in whole or part without express written permission Is strictly prohibited. Designed and coded by Little Tiger.
  • Contact Us
  • Privacy Policy
  • Terms and Conditions