SDMI Sizes Up: New Canon 3T Supreme MRI Delivers Quality, Comfort, and Convenience
Earlier this year, Steinberg Diagnostic Medical Imaging (SDMI), a high-volume center in Las Vegas, was looking to purchase a 3T MRI scanner. The 12-location outpatient practice, which performs more than 140,000 MRI exams annually, utilizes, on average, two MRI systems per site, technology that is “extremely patient-friendly,” explains Mark Winkler, MD, radiologist and partner at SDMI.
Given that SDMI’s patients were accustomed to a short, quiet system in their existing 1.5T scanner, the practice was particular about maintaining that comfort when it decided to upgrade to a larger 3T. In April 2025, they installed Canon Medical Systems’ Vantage Galan 3T Supreme Edition MRI, which boasts the Pianissimo family of quiet technology and advanced capabilities built from the ground up, becoming the system’s first U.S. customer.
The decision to go with Canon was based on patient preference more than anything else,” says Dr. Winkler, “but it was also very important that we ended up with a very high technology piece of equipment that was positioned to grow, one that had a long, long pathway for evolution,” he says.
The system’s brand-new magnet, gradient design, and real-time platform to facilitate optimal hardware/software integration through functioning upgrades were important selling features. SDMI, a research and development site that is accustomed to building protocols from the ground up, preferred a new system to other 3Ts in the market that were mid-cycle.
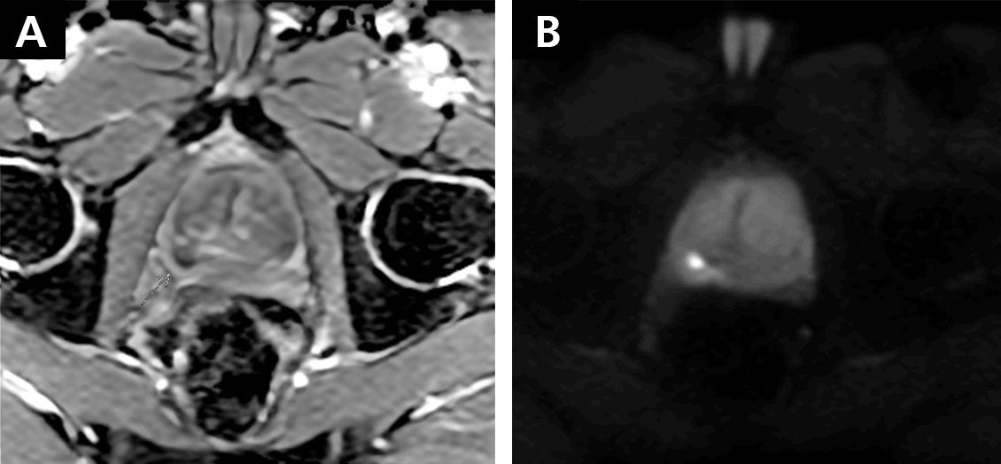
RDC diffusion with PIQE, matrix 288x288. (A) shows the ADC map and (B) is the DWI. images/ courtesy SDMI
The Vantage Galan 3T also features deep learning reconstruction (DLR) capabilities, intelligent workflow, and AI-driven enhancements that enable reliable performance improvements in high-demand clinical settings. In an environment where high throughput is integral to success, SDMI now scans up to a third more patients, quickly, thanks to streamlined processes, Dr. Winkler explains.
“The acquisitions are much faster because we have very high signal to noise, and we have real-time artifact correction so the studies are much more reproducible and higher quality. Reconstruction—and all the software-related features—are also much faster,” says Dr. Winkler. “It’s been very well received by the patients, by the technologists, and by the referring physicians.”
Chief MRI technologist Deanna Clark, RT(R)(MR)(ARRT), MRSO(MRSC), agrees the scanner is a win-win for staff and patients alike.
“It’s a significant improvement, the techs love it. The software is extremely intuitive—user-friendly and easy to cross-train,” Clark reports, adding that the quiet system is very important to patients.
Magnet capabilities
The Vantage Galan 3T Supreme Edition MRI uses a short Canon-designed magnet to yield an expanded field of view of 55x55x50.
“It’s an exceptionally short, industry-leading magnet that has exceptionally high homogeneity with a very large field of view,” Dr. Winkler says. “That's really important when you have large patients or off-center MSK anatomy. We don’t fight through repositioning because we have such large volume of homogeneity. The gradient’s exceptionally strong and stable—it's just a positive for everyone,” he says, referencing the “faster and prettier” studies.
Clark adds that the scanner makes it possible to perform urograms, and image long bones with minimal manipulation to large patients. “We’re able to give them quality 3T images.”
DWI enhancement
The imaging center is appreciating dramatically enhanced diffusion weighted imaging (DWI) with Canon in comparison to other vendors’ technology due to a number of system capabilities, including an improved gradient design, Reverse Encoding Distortion Correction, and zoom DWI features.
“We can use Zoom DWI to just focus on that small field of view and get rid of the artifactual distortions that would occur if you were using a larger field of view. It’s not just one element—it’s the magnet, the gradient, the distortion correction, the zoom features. All these together produce a good clinical result,” Dr. Winkler says.
Reconstruction results
In addition to Canon’s Advanced intelligent Clear-IQ Engine (AiCE) for DLR, SDMI uses the system’s Precise IQ Engine (PIQE) technology as its exclusive 2-D image reconstruction tool for resolution improvement to increase matrix size, remove noise, and deliver sharp anatomical MR images.
“With PIQE you really are zooming up the resolution,” says Dr. Winkler, reporting a nine-fold increase in MRI acquisition to display resolution. “Additionally, a lot of artifacts disappear. You are able to get an image that you could not previously obtain in a reasonable imaging time”—with sequences currently from one to two minutes at SDMI, he reports.
“We're doing all of our MSK work at 0.2-millimeter spatial resolution, sometimes higher. It’s remarkably high—you couldn’t do that with a native acquisition. You really need the AI reconstruction to get you that resolution and speed,” Dr. Winkler says.
From the technologists’ perspective, DLR technologies enable increased confidence and improved workflow at SDMI.
Our job is to make sure that we’re providing the radiologist with everything that they need. So if we’re on the fence about something because an image is not clear, then we may be repeating that. With AiCE and PIQE I'm never questioning if the signal to noise is too low or if I have the appropriate anatomic detail,” Clark says.
Remote capabilities
With 12 locations and more than 50 MRI technologists to manage, Clark reports that the remote assist functionality is a “huge time saver” for managing inexperienced technologists, challenging cases, and protocol adjustments.
“It could take me over an hour to drive to a different site. From a tech-training standpoint, it’s great to show them how to do something without having to be on site.”
“It’s very useful for an experienced tech to be able to assist with a non-routine case from a distance with the real-time assist,” agrees Dr. Winkler, who explains that SDMI also does a lot of protocol enhancement over time. Previously, this took weeks to implement. “Remote functionality enables its rapid seamless integration, a critical tool for sustaining practice growth and quality,” he says.
Clark reports that the ceiling camera solution, Intelligent Monitor, and Tablet UX also yield “huge time savings.”
Partnership benefits
SDMI says that in addition to supplying the practice with advanced MR hardware and software capabilities, Canon has maintained a reliable partnership through the lifespan of their equipment—from site preparation through installation and ongoing service needs.
“They have a very responsive, strong service organization—the right ‘can-do’ culture,” says Dr. Winkler.
From the applications side, Clark agrees. “We’re never told ‘no;’ we're told, ‘let me figure that out for you. Let me help you. I'll see what I can do for you.’”
Dr. Winkler concludes, “Canon is, by far and away, the most respected service organization in the industry.”
Citation
SDMI Sizes Up: New Canon 3T Supreme MRI Delivers Quality, Comfort, and Convenience. Appl Radiol.
November 22, 2025